kids encyclopedia robot

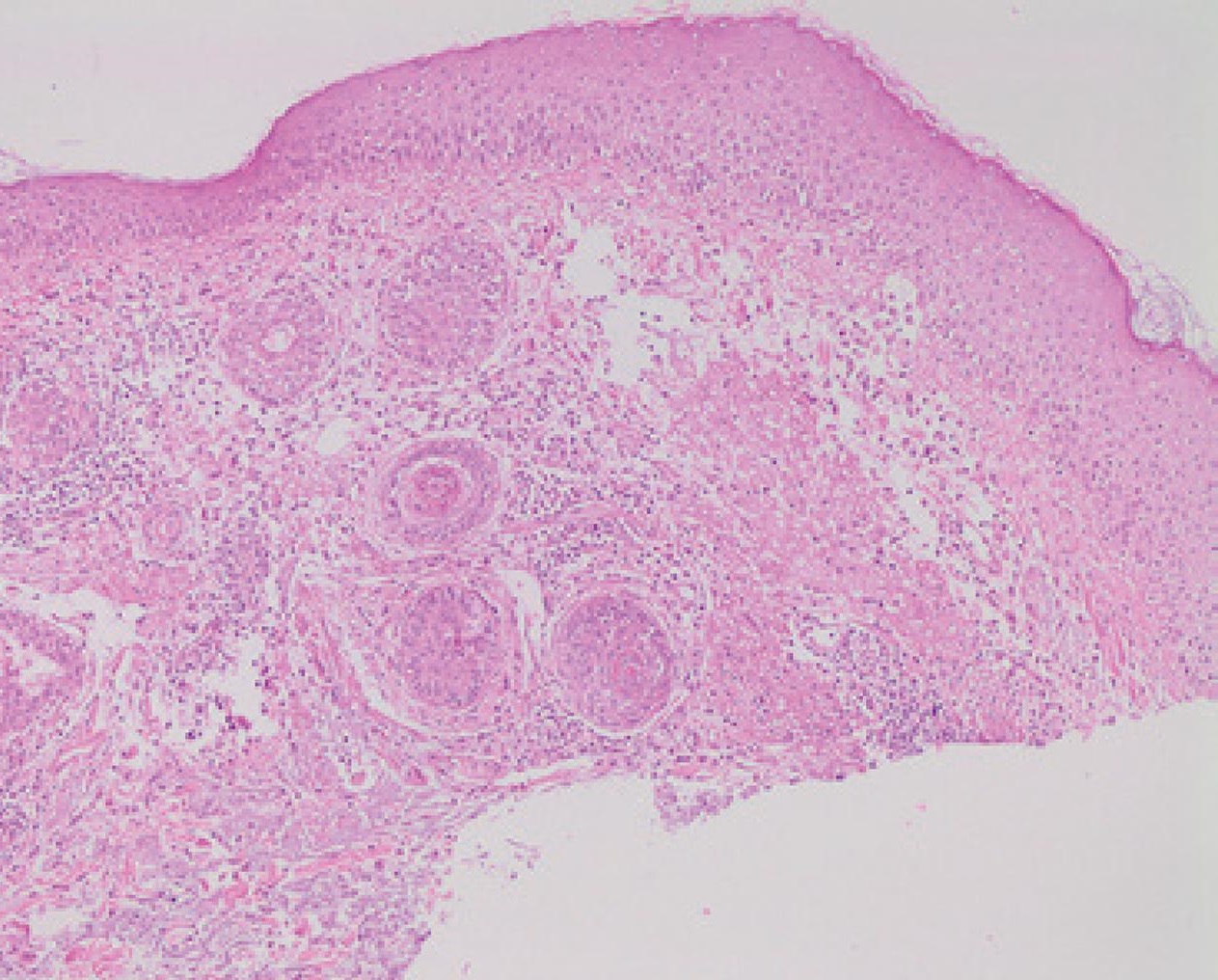
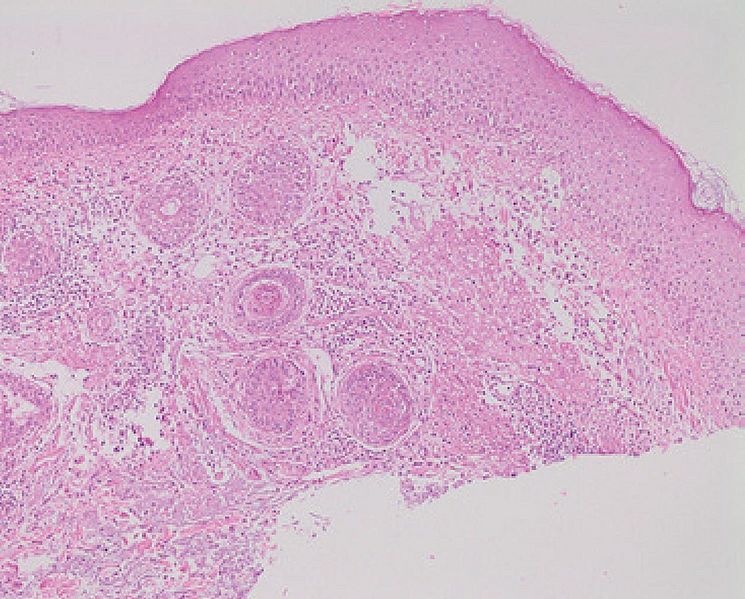
Image: Micrograph of rosacea

Kids Encyclopedia Facts
Original image(1,263 × 1,016 pixels, file size: 386 KB, MIME type: image/jpeg)

Description: Micrograph of rosacea. A skin biopsy showing rosacea as enlarged, dilated capillaries and venules located in the upper dermis, angulated telangiectasias, perivascular and perifollicular lymphocytic infiltration, and superficial dermal edema. Concurrently, there is also solar elastosis (H&E; 100×).
Title: Micrograph of rosacea
Credit: (2017). "An unusual presentation of ocular rosacea". Arquivos Brasileiros de Oftalmologia 80 (6). DOI:10.5935/0004-2749.20170097. ISSN 0004-2749. "This is an open-access article distributed under the terms of the Creative Commons Attribution License"
Author: Hande Celiker, Ebru Toker, Tulin Ergun, Leyla Cinel
Usage Terms: Creative Commons Attribution 4.0
License: CC BY 4.0
License Link: https://creativecommons.org/licenses/by/4.0
Attribution Required?: Yes

The following page links to this image:

kids search engine