kids encyclopedia robot

Image: Cryptitis high mag

Kids Encyclopedia Facts
Original image(2,848 × 4,272 pixels, file size: 4.29 MB, MIME type: image/jpeg)

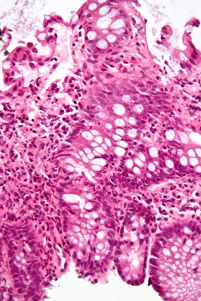
Description: High magnification micrograph of cryptitis in a case of Crohn's disease. H&E stain. Colonic biopsy of the mucosa. The micrograph show numerous neutrophils within the crypt and several eosinophils. The findings in this image (alone) are not diagnostic for Crohn's disease.

The deep aspect of the biopsy has larger hyperchromatic, i.e. darker staining, nuclei, as is typical of the crypt base. The nuclei "mature", i.e. get smaller and less hyperchromatic, toward the superficial aspect; this is a normal finding, which is often absent in dysplastic lesions (e.g. tubular adenoma).

Related images



Intermed. mag.




High mag. view of crypt branching (feature of chronic colitis).
Author: Nephron
Usage Terms: Creative Commons Attribution-Share Alike 3.0
License: CC-BY-SA-3.0
License Link: http://creativecommons.org/licenses/by-sa/3.0/
Attribution Required?: Yes

The following page links to this image:

kids search engine