kids encyclopedia robot

Neurosurgery facts for kids

Kids Encyclopedia Facts
Quick facts for kids
Neurosurgery
Occupation
Activity sectors
Surgery
Description
Education required

or

  • Bachelor of Medicine, Bachelor of Surgery (M.B.B.S.) with Residency in Neurosurgery or Fellowship of the Royal College of Surgeons (F.R.C.S.)

or

  • Master of Surgery (M.S.) / Magister Chirurgiae (M.Ch.)
Fields of
employment
Hospitals, clinics

Neurosurgery is a special type of medicine. It focuses on treating problems with the nervous system through surgery. People sometimes call it "brain surgery." However, it also includes operations on the spinal cord, nerves throughout the body, and the blood vessels that supply the brain. Neurosurgeons are doctors who perform these delicate operations. They also help manage some nervous system conditions without surgery.

Becoming a Neurosurgeon

Becoming a neurosurgeon is a long and challenging journey. It requires many years of schooling and training. After finishing medical school, doctors must complete a special training program. This program, called a residency, usually lasts about seven years or more. During this time, they learn everything about the brain, spinal cord, and nerves. They also learn how to perform complex surgeries. It is one of the most competitive medical fields to enter.

A Look at Neurosurgery's Past

Neurosurgery has a very long history. People have tried to help with head pain for thousands of years. But the biggest improvements in neurosurgery have happened in the last hundred years.

Ancient Brain Treatments

Early forms of brain surgery date back to ancient times. In the Roman Empire, doctors performed operations on broken skulls. The Inca people also practiced a procedure called trepanation. This involved making a hole in the skull. During the Middle Ages, a doctor named Al-Zahrawi treated head injuries and spinal problems. In China, Hua Tuo invented an early form of anesthesia. This medicine helped patients sleep during surgery.

Edinburgh Skull, trepanning showing hole in back of skull Wellcome M0009393
This skull from Edinburgh shows a hole made by trepanation, an ancient surgical procedure.

Modern Neurosurgery Milestones

Many important discoveries shaped modern neurosurgery.

Removing Brain Tumors

In 1879, a Scottish surgeon named William Macewen successfully removed a brain tumor. He found the tumor by carefully observing the patient's symptoms. Later, in 1884, English surgeon Rickman Godlee performed another important tumor removal. In 1907, Austrian surgeon Hermann Schloffer was the first to successfully remove a tumor from the pituitary gland.

Understanding Brain Connections

Lobotomy was an older type of brain surgery. It was used to treat certain severe brain conditions. While some patients showed improvement, it often led to serious problems. Because of these risks and new understandings, this procedure is no longer used today.

Electrodes and the Brain

In 1878, Richard Caton discovered that animal brains send electrical signals. Later, in 1950, Jose Delgado invented the first electrode to be placed in an animal's brain. In 1972, the cochlear implant became available. This device helps deaf people hear by stimulating nerves. In 1998, Philip Kennedy implanted the first Brain Computer Interface (BCI) into a human. This device helps connect the brain directly to computers.

Modern Surgical Tools

Neurosurgery has advanced greatly thanks to special tools and technology. Modern neurosurgical tools are made with incredible precision. They include tiny chisels, hooks, and forceps. Power tools and robots are also now used in brain surgery. For example, some systems use computer images to guide a robotic drill during skull operations.

Working Together: Global Neurosurgery

Neurosurgeons from all over the world work together. The World Federation of Neurosurgical Societies (WFNS) was started in 1955. It helps neurosurgeons share knowledge and improve patient care globally. This organization includes many national and continental groups. They represent about 50,000 neurosurgeons worldwide.

Robert Spetzler in a Neurosurgeons Group
Neurosurgeons from around the world gather at a conference.

Different Types of Neurosurgery

Neurosurgery covers many different conditions. Some neurosurgeons specialize in certain areas.

  • Vascular Neurosurgery: This deals with blood vessel problems in the brain. It includes fixing aneurysms, which are weak spots in blood vessels.
  • Functional and Epilepsy Neurosurgery: This helps people with conditions like Parkinson's disease or severe epilepsy. Surgeons might implant electrodes or carefully remove small parts of the brain to control seizures.
  • Oncological Neurosurgery: This focuses on treating brain and spinal cord tumors. It helps both children and adults with different types of growths.
  • Skull Base Surgery: This involves operations at the base of the skull.
  • Spinal Neurosurgery: This treats problems with the spine and spinal cord.
  • Peripheral Nerve Surgery: This focuses on nerves outside the brain and spinal cord.
  • Pediatric Neurosurgery: This is for children with brain or nervous system problems. These can include birth defects, tumors, or injuries.

Common Neurosurgical Operations

Some of the most common surgeries performed by neurosurgeons include:

  • Anterior cervical discectomy and fusion (ACDF): Surgery on the neck to relieve pressure on nerves.
  • Craniotomy for brain tumor (CBT): Opening the skull to remove a brain tumor.
  • Discectomy: Removing a damaged disc in the spine.
  • Laminectomy: Removing part of a spinal bone to relieve pressure.
  • Posterolateral lumbar fusion (PLF): Fusing bones in the lower back for stability.

Neuropathology: Studying Brain Diseases

Neuropathology is a field that studies diseases of the brain, spinal cord, and nerves. Doctors called neuropathologists examine tissue samples. These samples come from biopsies (small tissue removals) or autopsies (examinations after death). This helps them understand conditions like Parkinson's disease and Alzheimer's disease.

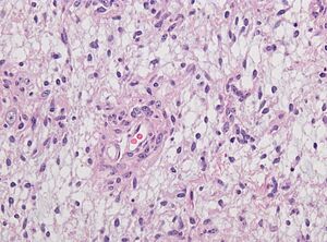
Neuropathology case V 03
A magnified view of brain tissue, showing signs of a condition called Angiocentric glioma.

A Brief History of Neuropathology

For a long time, doctors studied diseases by looking at symptoms. But in the 1800s, doctors like Thomas Hodgkin started looking at damaged tissues themselves. With the invention of microscopes, they could see tiny details. This changed how we understand diseases in the human body.

Neuroanesthesia: Keeping Patients Safe During Surgery

Neuroanesthesia is a special type of anesthesiology. It focuses on keeping patients safe and comfortable during neurosurgery. Sometimes, during "awake" brain surgery, the patient is conscious for part of the operation. This happens when a surgeon needs to check brain functions like talking or moving. They want to make sure they don't harm important areas.

The History of Anesthesia in Brain Surgery

Ancient doctors knew about ways to make patients sleepy. Hippocrates used wines to sedate patients during trepanation. Later, Dioscorides described using plants like mandrake and opium. In India, surgeons used a mix called "samohine" to sedate patients. In the 18th century, gases like carbon dioxide and nitrogen were used for anesthesia.

How Neurosurgeons Operate

Neurosurgery
Specialty {{#statements:P1995}}
ICD-10-PCS 00-01
ICD-9-CM 0105
MeSH D019635
OPS-301 code 5-01...5-05

Imaging and Navigation

Modern neurosurgeons use advanced imaging to see inside the brain. These include CT scans, magnetic resonance imaging (MRI), and positron emission tomography (PET). These images help surgeons plan their operations. They also use "stereotaxy" to reach tiny targets in the brain with great accuracy. It's like a GPS for the brain, guiding the surgeon precisely.

Surgical Approaches

Neurosurgeons use different ways to access the brain.

  • Open Surgery: This involves making a larger opening in the skull. It's often used in emergencies or for serious injuries.
  • Microsurgery: This uses special microscopes to see tiny details. It allows surgeons to work through smaller openings with great precision. Many spine surgeries and operations on blood vessels use this method.
  • Endoscopic Surgery: This uses a thin tube with a camera, called an endoscope. Surgeons can insert it through small openings, even through the nose. It's used for certain tumors and fluid problems in the brain.

Brain Mapping During Surgery

Sometimes, surgeons need to know exactly which parts of the brain control certain functions. They use "functional brain mapping" during surgery. This helps them identify areas for language or movement. It ensures they protect these important parts of the brain during the operation.

Conditions Treated by Neurosurgeons

Neurosurgeons treat a wide range of conditions, including:

  • Meningitis and other brain infections.
  • Spinal disc herniation (a "slipped disc").
  • Narrowing of the spinal canal in the neck or back.
  • Hydrocephalus (too much fluid in the brain).
  • Head trauma (like brain bleeding or skull fractures).
  • Spinal cord trauma (injuries to the spinal cord).
  • Injuries to nerves outside the brain and spinal cord.
  • Tumors of the spine, spinal cord, and nerves.
  • Bleeding inside the brain.
  • Some types of epilepsy that don't respond to medicine.
  • Some movement disorders, like advanced Parkinson's disease.
  • Severe pain from cancer or injuries.
  • Problems with blood vessels in the brain and spinal cord.

Recovery After Surgery

Pain after brain surgery can be significant. Doctors use different medicines to help manage this pain. These can include anti-inflammatory drugs. Some medications can also help reduce nausea and vomiting after surgery. Managing pain well helps patients recover faster and reduces their hospital stay.

Famous Neurosurgeons

Many brilliant doctors have shaped neurosurgery:

  • Harvey Cushing and Walter Dandy: Known as founders of modern neurosurgery.
  • Victor Horsley: Often called the first neurosurgeon.
  • Sofia Ionescu: Known as the first woman neurosurgeon.
  • Hermann Schloffer: Invented a special surgery through the nose in 1907.
  • Wilder Penfield: A pioneer in epilepsy neurosurgery.
  • Lars Leksell: Developed the Gamma Knife, a tool for non-invasive brain surgery.
  • Wirginia Maixner: A pediatric neurosurgeon famous for separating conjoined twins.
  • Saleem Abdulrauf: Developed "awake" brain surgery for complex blood vessel problems.
  • John R. Adler: Invented the Cyberknife, another advanced radiosurgery tool.
  • Alim-Louis Benabid: Helped develop deep brain stimulation for movement disorders.
  • Ben Carson: A retired pediatric neurosurgeon known for separating conjoined twins.
  • Henry Marsh: A leading English neurosurgeon.
  • Frank Henderson Mayfield: Invented the Mayfield skull clamp, a device used in surgery.
  • B. K. Misra: A pioneer in image-guided surgery and awake craniotomy in India.
  • Karin Muraszko: The first woman to lead a neurosurgery department at an American medical school.
  • Hirotaro Narabayashi: A pioneer in stereotactic neurosurgery.
  • Ayub K. Ommaya: Invented the Ommaya reservoir, a device for delivering medicine to the brain.
  • Kyousuke Kamada: Researched brain mapping during awake surgery.
  • Ludvig Puusepp: The world's first professor of neurosurgery.
  • Joseph Ransohoff: Known for using medical imaging and founding the first neurosurgery intensive care unit.
  • Majid Samii: A pioneer in certain brain tumor surgeries.
  • Juliet Sekabunga Nalwanga: Uganda's first woman neurosurgeon.
  • Robert Wheeler Rand: Among the first to use surgical microscopes in neurosurgery.
  • Gazi Yaşargil: Known as the father of microneurosurgery.
  • Mohana Rao Patibandla: Known for performing India's first minimally invasive brain surgery using the BrainPath system.

See also

Kids robot.svg In Spanish: Neurocirugía para niños

  • American Association of Neurological Surgeons
  • Congress of Neurological Surgeons
  • Cranial auscultation
  • Global neurosurgery
  • List of neurologists and neurosurgeons
  • Polyaxial screw
kids search engine
Neurosurgery Facts for Kids. Kiddle Encyclopedia.