kids encyclopedia robot

Mycobacterium tuberculosis facts for kids

Kids Encyclopedia Facts
Quick facts for kids
Mycobacterium tuberculosis
TB Culture.jpg
M. tuberculosis colonies
Scientific classification edit
Unrecognized taxon (fix): Mycobacterium
Species:
Template:Taxonomy/MycobacteriumM. tuberculosis
Binomial name
Template:Taxonomy/MycobacteriumMycobacterium tuberculosis
Zopf 1883
Script error: The function "autoWithCaption" does not exist.
Synonyms

Tubercle bacillus Koch 1882

Script error: No such module "Check for conflicting parameters".

Mycobacterium tuberculosis (often called M. tb) is a tiny germ, a type of bacteria, that causes a serious illness called tuberculosis (TB). It's also known as Koch's bacillus after the scientist who discovered it.

This special bacterium was first found in 1882 by Robert Koch. It has a unique, waxy outer layer that makes it tough. This waxy coat helps it survive and makes it hard to stain with common dyes used to see bacteria under a microscope. Instead, scientists use special stains like Ziehl–Neelsen to spot it.

M. tuberculosis loves oxygen and mostly attacks the lungs, which are part of your respiratory system. Doctors can find out if someone has TB using tests like a skin test, special stains, growing the bacteria in a lab, or advanced DNA tests.

Scientists fully mapped out the M. tuberculosis genome (its complete set of DNA instructions) in 1998. This helped them understand the bacterium much better.

How Does M. tuberculosis Grow?

M. tuberculosis is a slow-growing bacterium. It needs oxygen to live and cannot move on its own. Unlike many other bacteria that divide every few minutes, M. tuberculosis takes about 18 to 24 hours to split into two.

This tiny rod-shaped germ is very tough. It can survive weak disinfectants and stay alive in dry places for weeks. Its special cell wall, which is rich in waxy substances like mycolic acid, helps it resist drying out. This tough cell wall also makes it harder for our bodies to fight off the infection.

Seeing M. tuberculosis Under a Microscope

M.tuberculosis
M. tuberculosis growing in a lab dish.

Normally, scientists use a stain called Gram stain to see bacteria. But the waxy coat of M. tuberculosis doesn't absorb this stain. So, special "acid-fast" stains, like Ziehl–Neelsen, or glowing fluorescent stains are used instead.

When viewed closely, these bacteria look like curved rods. They often clump together, forming rope-like strands. This is because of the fatty acids in their cell walls that make them stick to each other.

Growing M. tuberculosis in the Lab

Slant tubes of Löwenstein-Jensen medium with control, M tuberculosis, M avium and M gordonae
M. tuberculosis growing in special tubes.
Mycobacteria Growth Indicator Tube (MGIT) samples in ultraviolet light
Lab samples glowing under UV light, showing bacteria growth.

Scientists can grow M. tuberculosis in a laboratory to study it. However, it grows very slowly compared to other bacteria. It can take several weeks for visible colonies to appear on special plates or in liquid growth mixtures.

Special tubes can also be used. These tubes contain a gel that glows when M. tuberculosis grows, making it easier to detect. Scientists use other tests, including DNA probes, to confirm it is indeed M. tuberculosis.

Family Members of M. tuberculosis

M. tuberculosis is part of a group of closely related bacteria called the Mycobacterium tuberculosis complex. This group includes several members, such as:

  • M. tuberculosis (the main one that affects humans)
  • M. africanum
  • M. bovis (which can infect animals and sometimes humans)
  • M. canettii
  • M. caprae
  • M. microti
  • M. pinnipedii
  • M. mungi
  • M. orygis

How M. tuberculosis Affects the Body

Humans are the only known carriers of M. tuberculosis. It's important to know that you usually can't catch TB by shaking hands, touching toilet seats, or sharing food or drinks. The main way it spreads is through tiny air droplets when an infected person coughs, sneezes, speaks, or sings.

When the Body Fights Back

When M. tuberculosis enters the lungs, the body's immune cells, called macrophages, try to "eat" and destroy the bacteria. However, M. tuberculosis has clever ways to avoid being killed. Its waxy cell wall prevents the macrophage from fully digesting it.

The bacteria can also hide inside these immune cells and multiply. This allows them to stay in the body for a long time, sometimes without causing immediate sickness.

Symptoms of TB

If the bacteria become active, they can cause symptoms like:

  • A cough that lasts more than three weeks
  • Coughing up blood
  • Chest pain when breathing or coughing
  • Weight loss
  • Feeling very tired
  • Fever
  • Night sweats
  • Chills
  • Loss of appetite

M. tuberculosis can also spread to other parts of the body. For example, it might cause blood in the urine if it affects the kidneys, or back pain if it reaches the spine.

Different Types of M. tuberculosis

Scientists can study the specific type, or "strain," of M. tuberculosis that someone has. This helps them understand how the disease might be spreading in a community. If two people have the same strain, it suggests they might have infected each other.

These strains are identified by looking at unique patterns in their DNA. This method helps track outbreaks and understand how the bacteria move from person to person.

The Germ's DNA and Resistance

The complete DNA blueprint of M. tuberculosis (called its genome) was mapped in 1998. It has about 4 million base pairs and nearly 4,000 genes. Scientists have found that many of these genes are involved in making the bacterium's waxy outer coat. This coat is very important for the germ's survival.

M. tuberculosis can also use fats and cholesterol from the human body as food. This ability helps it survive inside us, especially during long-term infections when other food sources might be scarce.

Stopping Resistance

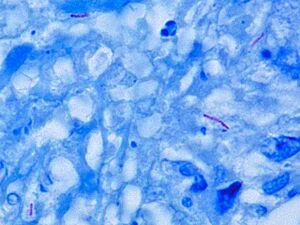
Mycobacterium tuberculosis Ziehl-Neelsen stain 640
M. tuberculosis (stained red) in tissue (blue).
Chording mycobacterium tuberculesis culture
M. tuberculosis growing in a lab, showing its rope-like clumps.

A big challenge with M. tuberculosis is that it can become resistant to antibiotics. This happens when the bacteria change their DNA (mutate) in ways that make the medicines less effective.

When M. tuberculosis becomes resistant to the two most important TB drugs, rifampicin and isoniazid, it's called multidrug-resistant TB (MDR-TB). Even more serious is extensively drug-resistant TB (XDR-TB), which is resistant to even more powerful drugs.

The unique waxy cell wall of M. tuberculosis also makes it naturally harder for antibiotics to get inside and work. Scientists are always looking for new ways to fight these resistant strains, including developing new drugs that target different parts of the bacteria.

A Look at its History

M. tuberculosis, also known as "Koch's bacillus," was first officially described on March 24, 1882, by Robert Koch. He later won the Nobel Prize in 1905 for this important discovery.

The disease caused by M. tuberculosis has been around for a very long time. In 1720, a doctor named Benjamin Marten suggested that tuberculosis might be caused by tiny living creatures spreading through the air. This was a very early idea about germs causing disease.

Sadly, over 100 million people worldwide have died from TB throughout history. This highlights the importance of vaccines and treatments.

The Future of Protection

The BCG Vaccine

The BCG vaccine (bacille Calmette-Guerin) is used to protect against TB. It's made from a weaker form of a related bacterium, M. bovis. This vaccine is very good at preventing severe forms of TB in children. However, it's not as effective at preventing the most common type of TB in adults.

Because of this, the BCG vaccine is mainly given in places where TB is common. In countries with low TB risk, like the United States, it's not a routine vaccine. People there only receive it after talking with a TB expert and if they meet specific health criteria.

Research has also shown that the BCG vaccine can boost the body's general immune response, making it better at fighting other infections. Some studies even suggest a link between BCG vaccination and a stronger immune response to COVID-19.

New Ways to Fight TB

Scientists are working on new types of vaccines, including DNA vaccines. These DNA vaccines could potentially be used alone or with the BCG vaccine. The hope is that they could help treat TB and even shorten the time people need to take medicine.

See also

Kids robot.svg In Spanish: Bacilo de Koch para niños

  • Philip D'Arcy Hart
Black History Month on Kiddle
Influential African-American Artists:
James Van Der Zee
Alma Thomas
Ellis Wilson
Margaret Taylor-Burroughs
kids search engine
Mycobacterium tuberculosis Facts for Kids. Kiddle Encyclopedia.